Kênh Phụ Nữ Kênh Phụ Nữ

Tự làm đẹp

Tạm biệt nốt ruồi vĩnh viễn chỉ với 1 lát dứa và 1 nhánh tỏi va làm theo cách này

Tạm biệt nốt ruồi vĩnh viễn chỉ với 1 lát dứa và 1 nhánh tỏi va làm theo cách này

Nốt ruồi xấu xí làm giảm tính thẩm mỹ của khuôn mặt, khiến vẻ đẹp chưa thật hoàn hảo.

Cách lấy mụn đầu đen ẩn sâu ‘CAM ĐOAN SẠCH 100‰’ ai làm cũng được

Chẳng cần dùng đến mỹ phẩm gì hết, vẫn có cách lấy mụn đầu đen này không cần dùng miếng lột. Tuy hơi tốn thời gian tí nhưng đảm bảo 100‰ da sạch trơn, mà không bị to lỗ chân lông đâu nhé các chị.

Miệng hôi bốc mùi, không ai dám đến gần chỉ cần VỎ BƯỞI là hết ngay tức thì

Bưởi là trái cây cực kỳ phổ biến với nhiều công dụng tốt cho sức khỏe của dạ dày và răng miệng.

Người Nhật xài 5 giọt/ngày LỖ CHÂN LÔNG NHẴN THÍN, MỤN SẠCH BAY sau 1 tuần

Kim Ngân bị mụn đã nhiều năm nay nhưng kể từ khi được cô bạn người Nhật chỉ cho cách trị mụn tử toner giấm táo thì cô nàng khỏi hẳn mụn, da trơn láng, lỗ chân lông nhẵn thín.

Sau 2 tuần lông mi DÀI-DÀY-CONG NHƯ NỐI CHỈ VỚI HỖN HỢP 20 ngàn dùng cả năm không hết

Cách làm lông mi dài và dày chỉ trong 12 ngày lông mi dài và dày gấp đôi, đẹp như mi nối mà không sợ bị rụng mi, cực kì dễ làm và tiết kiệm thời gian.

Chỉ vài giọt/ngày, VIÊM LỖ CHÂN LÔNG bỗng 1 đi không trở lại, KHÔNG CÒN DẤU VẾT NÀO

Dưới đâylà tổng hợp các cách trị viêm lỗ chân lông cực hiệu quả đã nhận được rất nhiều chia sẻ của các bạn trẻ.

Ít ai ngờ, hỗn hợp thần kì này lại giúp môi thâm xì cũng hồng hào sau một đêm ngủ dậy

Bất kể môi bạn thâm do chì hay bẩm sinh cũng đỏ hồng căng bóng trong tích tắc chỉ nhờ bôi hỗn hợp này. Hãy thử dùng nhé!

Chỉ 1 ly/ngày, MỤN TỰ HẾT DA CĂNG MỌNG sau 1 tuần – Không cần tốn tiền Spa, mỹ phẩm

Nước nha đam đường phèn giúp nhuận tràng, thanh lọc cơ thể, giảm mụn từ bên trong từ đó da được cung cấp dưỡng chất từ bên trong.

Với 1 cốc/ngày EM ĐẸP TỰA HOT GIRL – TRẺ RA NHƯ GÁI 18 sau 1 tuần

Ngày nào em cũng uống 1 cốc nước đậu đen buổi sáng, giờ da em mịn màng và trẻ trung chẳng kém gì mấy em hotgirl trên mạng.

Pha muối với nước ấm rồi làm như thế này 2 lần 1 ngày, trị dứt điểm viêm nang lông, da mướt mịn, trắng lên rõ rệt

Viêm nang lông khiến bạn vô cùng tự ti khi diện váy ngắn hoặc quần sooc cá tính. Cùng bí quyết siêu tiết kiệm dưới đây thổi bay nỗi lo ấy một cách triệt để.

Mụn và vết thâm sẽ biến mất không dấu vết nhờ 1 phút thoa mặt nạ mỗi ngày

Không chỉ có tác dụng trị mụn, dầu gấc còn có nhiều công dụng trong việc chăm sóc da cho chị em phụ nữ.

Bồn động tác đơn giản giúp vai thô trở nên thon gọn nhanh chóng

Chỉ với vài động tác massage đơn giản, đôi vai thô kệch của bạn sẽ trở nên mềm mại và đẹp hơn rất nhiều.

Mặt nạ dưỡng da thiên nhiên giúp nàng khỏi lo mặt mốc nhé

Da bong vẩy, nứt nẻ sần sùi không những khiến chị em khó trang điểm mà còn gây nhiều khó chịu. Dùng các loại kem trị nẻ thông thường sẽ không ăn thua gì so với 3 siêu mặt nạ đánh bay mặt mốc sau lần đầu sử dụng

Làm đẹp da với kem đánh răng và muối tại nhà với cách làm đơn giản

Công dụng của kem đánh răng đối với da mặt không phải chị em nào cũng biết đâu nhé. Đọc ngay bài viết này để khỏi tốn tiền mua mỹ phẩm trị mụn đầu đen nào.

Môi thâm do chì hay tự nhiên thâm cũng hồng hào nhanh chóng nhờ hỗn hợp này

Đôi môi thâm sẽ hoàn toàn bị đánh bay trả lại sắc hồng tươi tắn với hỗn hợp thần kì sau

Tô son theo cách này, màu sẽ bám dai, bám dễ và bám đều không cần tô lại

Biết được bí quyết này, màu son sẽ bám và lâu phai giúp bạn rạng rỡ cả ngày mà không cần tô lại.

1 phút đắp mặt nạ này mỗi ngày, mặt chi chít mụn thâm sẽ trở nên trắng bóc

"Tối trước khi ngủ, dùng chai bi dừa - gấc lăn 1 lớp mỏng đều lên mặt. Chưa tới 1 phút thực hiện đâu nhé. Chỉ sau 2 tuần đã thấy làn da hết thâm mụn và mịn màng hơn".

3 món mỹ phẩm nếu để trong tủ lạnh thì hiệu quả gấp trăm lần dùng bình thường

Nghe thì có vẻ hơi lạ nhưng thực tế, 3 món mỹ phẩm này nếu để trong tủ lạnh sẽ có hiệu quả tốt hơn khi dùng đấy.

Mắt thâm nặng cứ dùng bột rau câu với trà xanh theo cách này là sạch hết, da căng bóng trong tích tắc

Không tốn đến 10 nghìn đồng, các cô gái có thể trị sạch quầng thâm mắt nhờ tận dụng bột rau câu và trà xanh theo hướng dẫn dưới đây.

Bổ sung ngay 10 loại thực phẩm "vàng" chống lão hóa da

Không cần phải sử dụng các sản phẩm dưỡng da đắt tiền mà vẫn có được một làn da đẹp rạng ngời, đẩy lùi các dấu hiệu lão hóa.

Vẫn dùng củ dền nhưng phải làm theo cách này, môi thâm do bẩm sinh cũng trở nên hồng hào, căng mọng

Củ dền có màu đỏ tự nhiên, vô cùng lành tính. Do đó, chúng được lựa chọn là phương pháp trị thâm môi hiệu quả và đáng thử nhất, bạn đã làm chưa?

Vắt chanh đừng dại bỏ vỏ – đây là ‘’thần dược’’ cho nhan sắc nhà nào cũng có mà toàn bị chị em ‘’vứt sọt rác’’

Phụ nữ sau khi dùng chanh xong thường vứt bỏ vỏ vào sọt rác mà không biết rằng, mình vừa ném đi cả một loại thần dược đa-zi-năng làm đẹp từ đầu đến chân đấy.

Mê mẩn với cách tắm trắng bằng bia giúp da bật 2 tông mà không lo đen trở lại

Chỉ cần thử 1 lần với cách tắm trắng bằng bia này, tin chắc bạn sẽ bị nghiện đấy.

Xông hơi theo 2 cách này 2 lần/tuần, vĩnh biệt mụn và da trắng hồng như em bé

Mỗi tuần thực hiện 2 lần và dùng liên tục nhiều tuần, bạn sẽ cảm nhận được sự khác biệt ở làn da của mình. Tham khảo và áp dụng nhé!

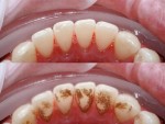
Ngậm 1 ngụm nước này 2 phút mỗi ngày, mảng bám lâu năm cũng bị đánh bay trả lại hàm răng trắng sáng, hơi thở thơm tho

Bỏ ra 5 phút làm nước súc miệng không những tiết kiệm tiền bạc mà còn giúp răng trắng sáng và hơi thở thơm tho, hạn chế hóa chất vào cơ thể.

Bí quyết khiến sẹo lồi, sẹo thâm sẽ mờ đến 90% với loại rau bán đầy chợ

Các vết sẹo đặc biệt là sẹo lồi ảnh hưởng rất nhiều tới diện mạo của chúng ta. Và thay vì phải dùng đến các công nghệ thẩm mĩ đắt đỏ thì chỉ với 1 nắm rau này, mọi vết sẹo sẽ được giải quyết hết.
Đầu  < 141 142 143 144 145 >  Cuối