Kênh Phụ Nữ Kênh Phụ Nữ

Y tế

10 sự thật đáng sợ về ung thư bàng quang mọi phụ nữ nên biết

10 sự thật đáng sợ về ung thư bàng quang mọi phụ nữ nên biết

Giống như các bệnh ung thư khác, ung thư bàng quang thật đáng sợ. Và nếu bạn là phụ nữ thì bạn càng cần phải biết 10 sự thật dưới đây về căn bệnh này.

Chảy máu bất thường ở 7 vị trí này trên cơ thể – nguy cơ mắc trọng bệnh cần hết sức cảnh giác

Khi bị va chạm hay vì một lí do nào đó khiến cơ thể bị chảy máu bất thường thì bạn không nên chủ quan mà hãy đến gặp bác sĩ tư vấn để kịp thời ngăn chặn những căn bệnh ung thư quái ác.

Tuân thủ những nguyên tắc này để bảo vệ hàm răng chắc khỏe trong mùa đông

Mùa đông kéo đến, hãy nhớ duy trì những thói quen trong khi ăn uống và vệ sinh hàng ngày để bảo vệ hàm răng chắc khỏe, trắng sáng bạn nhé.

Những thực phẩm bổ dưỡng nhưng nếu ăn sai giờ sẽ gây hại vô cùng

Theo các chuyên gia, có rất nhiều thực phẩm bổ dưỡng, cần thiết cho sức khỏe nhưng nếu ăn một cách tùy tiện sẽ là gánh nặng cho sức khỏe của bạn.

Ranh giới sinh tử của người bị huyết áp chính là ăn uống, lối sống: Đây là ’phao cứu sinh’

Bệnh cao huyết áp đang ngày càng phổ biến, và là yếu tố liên quan đến các bệnh tim mạch, mạch máu não, gây ra cái chết. Những bí quyết vàng sau đây là điều bạn không nên bỏ qua.

Bất ngờ: Loài hoa thiên điểu đẹp rực rỡ chị em hay mua về cắm chứa chất độc nguy hiểm

Chất độc trong hoa thiên điểu khi đi vào cơ thể theo đường miệng sẽ gây hại cho đường ruột, gây tiêu chảy, khô miệng, ù tai, hoặc suy giảm thị lực.

Những thực phẩm nên và không nên ăn dành cho dân văn phòng mắc bệnh xương khớp

Những thực phẩm nên và không nên ăn dưới đây sẽ là liều thuốc tự nhiên giúp những người làm việc ở văn phòng bị mắc bệnh xương khớp chữa bệnh kịp thời để không bị mãn tính.

Cách phân biệt các triệu chứng viêm loét và ung thư dạ dày mà nhiều người đang nhầm lẫn

Có khá nhiều sự tương đồng giữa triệu chứng của viêm loét dạ dày và ung thư dạ dày. Các cách dưới đây sẽ giúp bạn hiểu rõ hơn và phân biệt chính xác hai căn bệnh này.

Giật mình trước những tác hại khôn lường của rau mồng tơi, bây giờ mới biết

Mồng tơi là loại thực phẩm rất quý. Tuy vậy, nếu quá lạm dụng, loại rau này vẫn có thể gây ra những tác hại không mong muốn cho cơ thể.

6 dấu hiệu cảnh báo gan nhiễm độc

Gan là một trong những cơ quan làm việc vất vả nhất trong cơ thể vì nó phải lọc và thải độc tố cho cơ thể. Gan được ví như “bậc thầy” thanh lọc độc tố với 500 chức năng đã được liệt kê trong sách y khoa. Để hỗ trợ và “giải cứu” gan kịp thời những khi nó “mệt mỏi”, bạn cần biết 6 dấu hiệu cảnh báo gan nhiễm độc dưới đây.

Chuối xanh và chuối chín: Sự thật loại nào tốt hơn?

Một số người thích chuối chín, trong khi số khác thích chuối xanh. Vậy chuối nào mới có lợi cho sức khỏe?

Nếu thường mệt mỏi, hay quên, hãy bổ sung ngay những món này vào thực đơn của bạn

Chứng mệt mỏi, hay quên không phải là căn bệnh cấp tính và nguy hiểm, nhưng lại ảnh hưởng nghiêm trọng đến các hoạt động hàng ngày trong cuộc sống.

Những sự thật về sức khoẻ mà hầu hết mọi người đều bị “lừa”-Sức khỏe đời sống

Xem tivi quá gần sẽ ảnh hưởng xấu đến mắt, ăn ban đêm sẽ khiến bạn tăng cân hay thuốc bổ giúp tăng cường thể lực cho bạn… là một số kiến thức sức khỏe hầu hết mọi người đều tin

Tăng nguy cơ lây bệnh chỉ vì thói quen dùng chung những đồ vật sau của con gái

Bạn hãy tránh dùng chung những đồ vật sau đây để không gây hại cho sức khỏe nhé.

4 sai lầm nghiêm trọng bạn không được mắc sau ăn

Sau khi ăn có một số điều cấm kỵ bạn tuyệt đối không được mắc phải để tránh ảnh hưởng sức khỏe.

Thường xuyên bị bóng đè, có phải "bị vong theo"?

Bóng đè hay gặp ở một số người có bệnh lý căng thẳng thần kinh, trầm cảm và cả những đối tượng nghiện hút...

Bí quyết ăn chay thế nào để tốt cho sức khỏe?

Cho dù là để giảm cân, để chữa bệnh hay chỉ do sở thích cá nhân, thì việc ăn chay thuần cũng không phải hoàn toàn hữu ích. Một chế độ ăn chay hợp lý và phù hợp với mục

Đã mặc đồ ấm mà chân tay vẫn tê bì, lạnh cóng: Đừng chủ quan, coi chừng bệnh hiểm

Lạnh cóng, tê bì chân tay là phản xạ thường thấy của cơ thể vào những ngày mùa đông lạnh.

8 nguyên nhân gây đau đầu buổi sáng mà bạn không hề hay biết

Thức dậy chào ngày mới với trạng thái đau đầu là điều khá khó chịu. Vậy đâu là những nguyên nhân gây nên cơn đau đầu vào buổi sáng?

Những nguyên nhân khiến bạn thường xuyên đau đầu buổi sáng

Thức dậy chào ngày mới với trạng thái đau đầu là điều khá khó chịu. Vậy đâu là những nguyên nhân gây nên cơn đau đầu vào buổi sáng?

8 sự kết hợp thức ăn sai cách bạn thường mắc phải

Chúng ta đều biết sức khỏe phụ thuộc rất nhiều vào thức ăn mà ta chọn và nạp vào cơ thể. Tuy nhiên, đôi khi sự kết hợp giữa các thực phẩm sai cách có thể gây hại cho sức

Những thực phẩm dễ gây bệnh vì chế biến sai cách

Luộc kỹ hoặc xào bông cải xanh, ăn cà chua sống... là những thói quen ăn uống sai lầm phổ biến làm mất đi dưỡng chất của thực phẩm mà hầu hết mọi người đều mắc phải.

Top 3 bệnh nguy hiểm đàn ông công sở dễ mắc phải

Đàn ông công sở phải ngồi lâu một chỗ, ít vận động dễ dẫn đến nhiều chứng bệnh nguy hiểm mà ít ai quan tâm. Tuy nhiên nếu bạn có sự hiểu biết và phòng tránh, sẽ hạn chế được nguy cơ này.

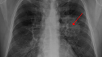
8 dấu hiệu cảnh báo UNG THƯ PHỔI đang sống trong cơ thể, nên biết sớm kẻo hối hận

Ung thư phổi là một trong những căn bệnh ung thư nguy hiểm. Bệnh nhân bị ung thư phổi có tỷ lệ sống sót rất thấp. Dưới đây là 8 dấu hiệu cảnh báo ung thư phổi sớm nhất.

Những sai lầm nhiều người mắc phải khi giữ ấm cơ thể trời lạnh

Nhiều người thường dễ mắc một số căn bệnh phổ biến về mùa đông và cho rằng mình không chịu được lạnh. Tuy nhiên rất có thể bạn đã mắc phải một trong những sai lầm trong

Có nên đi tất khi ngủ mùa đông?

Vào mùa đông, nhiều người có thói quen đi tất, bất kể ban ngày hay đi ngủ. Vậy có nên đi tất khi ngủ vào mùa đông hay không?
Đầu  < 7 8 9 10 11 >  Cuối