Kênh Phụ Nữ Kênh Phụ Nữ

Hàm răng

Ngậm 1 thìa này 5 phút buổi sáng, nhiệt miệng hay hôi miệng kinh niên sẽ trị dứt điểm

Ngậm 1 thìa này 5 phút buổi sáng, nhiệt miệng hay hôi miệng kinh niên sẽ trị dứt điểm

Chắc hẳn đối với nhiều người chứng nhiệt miệng hôi miệng kinh niên luôn là nỗi ám ảnh đúng không nào. Nhiệt miệng không chỉ gây đau nhức ăn uống không được, còn hôi miệng thì khiến chị em tự ti khi giao tiếp nữa.

5 Cách làm môi hết thâm cực kỳ hiệu quả bằng phương pháp tự nhiên

Bạn muốn đôi môi sáng màu thậm chí là có màu hồng tự nhiên thì bài này nên đọc và đọc thật kỹ. Sau đó thì áp dụng và cảm nhận hiệu quả trong 2 tháng

10 Mẹo trị nhiệt miệng "thần tốc" ngay tại nhà không cần dùng thuốc tây

Nhiệt miệng luôn khiến bạn phải nhăn mặt mỗi khi vô tình chạm vào các vết loét trong miệng. Hãy áp dụng ngay 10 cách sau để “đánh bay” nhiệt miệng nhé!

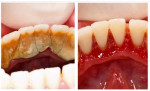
Rần rần cách làm trắng răng đón Tết ngay lập tức chỉ với 1 muỗng này, cao răng, mảng bám bong tróc, miệng thơm tho sạch sẽ

Các mẹ nhà mình ai mà còn lo răng xỉn màu, hơi thở có mùi í ẹ thì cứ học theo cách này nhé, hiệu quả lắm đây nè!!! Em đã thử và thành công.

CHUẨN BỊ 1 THÌA SỮA CHUA RỒI CHÀ LÊN RĂNG, CHÀ ĐẾN ĐÂU CAO RĂNG BONG RA ĐẾN ĐÓ, RĂNG TRẮNG NHƯ BỌC SỨ

Không những hết sạch cao răng mà sữa chua không đường còn giúp hơi thở thơm tho, sạch sẽ suốt cả ngày nữa đấy.

Chỉ cần 15 phút bạn sẽ có hàm răng trắng đẹp mà không hề tốn kém

Chỉ bằng những nguyên liệu dễ tìm, sẵn có trong nhà, bạn đã có rất nhiều cách làm trắng răng hiệu quả, nhanh chóng mà không hề tốn kém.

Áp dụng ngay 3 cách làm trắng răng an toàn, hiệu quả, cho hàm răng trắng sáng, đều và đẹp hơn

Áp dụng ngay 3 cách làm trắng răng an toàn, hiệu quả tức thì sau đây để bạn có được hàm răng trắng sáng, đều và đẹp tự nhiên.

Răng trắng bóc trong vòng 1 tháng chỉ nhờ nắm lá dễ kiếm này

Răng xỉn màu, vàng úa khiến các mẹ mất hẳn tự tin khi mỉm cười hoặc gần gũi với chồng. Thậm chí lúc lên hình có vẻ kém sắc so với bạn bè nữa ạ! Áp dụng cách này thì không cần liệu trình điều trị đến chục triệu mà men răng vẫn bền, miệng lại thơm tho sạch sẽ.

Loại nước ngậm vào là hết đau răng, hết nhiệt miệng

Đau răng, nhiệt miệng đều giảm ngay tức thì, hơi thở thơm mát với "nước súc miệng" tự làm chỉ mất 2 phút.

Ngậm 1 thìa hỗn hợp này răng sẽ trắng sáng như bọc sứ trị dứt điểm hôi miệng mà chẳng tốn 1 xu đi nha sĩ

Răng trắng sáng nhìn có duyên và đẹp hơn muôn phần các mẹ ạ. Chỉ cần thoa son rồi chụp hình là xinh lung linh luôn ấy ạ! Muốn vậy thì làm theo cách này của em thì chẳng tốn tiền đâu, chạy xuống dưới bếp là đẹp ngay.

Chỉ với 1 mẩu bánh mì trong 3 phút, vàng răng và hôi miệng sẽ biến mất

Bạn đang đau đầu với vấn đề hôi miệng và vàng răng thì hãy mua ngay 1 mẩu bánh mì, thực hiện theo cách sau trong vòng 3 phút điều kì diệu sẽ xảy ra.

Giữ răng trắng bóng, sạch bong các mảng bám bằng tuyệt chiêu “nhai dầu”

Đó là biện pháp sử dụng dầu tự nhiên để đánh sạch bong các mảng bám trên răng mà không cần đến gặp nha sỹ.

Răng trắng bóc, mảng bám bong tróc, mờ xỉn vàng chỉ nhờ nhúm than củi đen rẻ tiền

Ai vàng răng mới hiểu được nỗi khổ của những người có bộ răng xỉn màu. Mỗi lần đứng cạnh ai răng trắng nhất là khi chụp ảnh cùng xấu hổ kinh khủng luôn đó các mẹ ạ!

Xoài xanh ngâm rượu trắng – Bài thuốc gia truyền đặc trị viêm lợi, đau nhức do sâu răng, hiệu quả ngay sau lần đầu tiên

Nỗi ám ảnh dai dẳng bởi những cơn đau nhức do sâu răng, viêm nướu sẽ được giải quyết dứt điểm nếu bạn nằm lòng giải pháp thần kỳ từ 2 nguyên liệu tự nhiên dưới đây.

Mẹo tẩy trắng răng bằng than hoạt tính hiệu quả, an toàn để đón Tết

Than hoạt tính giúp đánh bay màu răng ố vàng, những mảng bám cứng đầu. Hàm răng không chỉ trắng bóng mà còn trở nên sạch sẽ, thơm mát hơn.

Loại nước thần ngậm vào là sạch cao răng, cho răng chắc khỏe trắng sáng

Bạn chỉ cần ngậm loại nước này là có thể sạch ngay cao răng tại nhà.

Bổ quả cau làm 4 rồi chà lên răng thế này, chà đến đâu cao răng bong ra đến đấy, ố vàng cả mảng cũng trắng sứ

Ngoài tác dụng chữa sâu răng, đau nhức răng, cau còn được biết đến như 1 bài thuốc giúp chị em phụ nữ sở hữu hàm răng trắng sáng, hết mảng bám, ố vàng hiệu quả.

Tết sắp đến mà không biết cách ngậm 1 nhúm muối + đường như thế này để trắng sáng

Chẳng cần chuẩn bị nhiều nguyên liệu mà cách làm lại cực kì đơn giản, bạn đừng bỏ lỡ bí kíp tuyệt vời này nhé!

Ngậm nước lá lốt trong 5 phút – Bài thuốc dân gian này đặc trị sâu răng, nhiệt miệng, viêm nướu mà không cần uống thuốc kháng sinh

Hàng triệu người trên thế giới đã trị thành công đau nhức do sâu răng, nhiệt miệng sau 1 tuần chỉ với 1 nắm lá lốt mà vùng nào cũng trồng.

4 Cách chữa hôi miệng đơn giản, hiểu quả nhưng chắc chắn khỏi ngay tại nhà‎

Bằng những nguyên liệu sẵn có trong cuộc sống hàng ngày với cách thực hiện rất dễ dàng, bạn sẽ trị tận gốc bệnh "hôi miệng" khó chịu này nhanh chóng.

Ngậm nước lá lốt trong 5 phút – Bài thuốc dân gian đặc trị sâu răng, nhiệt miệng, viêm nướu siêu hiệu quả

Hàng triệu người trên thế giới đã trị thành công đau nhức do sâu răng, nhiệt miệng sau 1 tuần chỉ với 1 nắm lá lốt mà vùng nào cũng trồng.

Sắp đến Tết âm lịch rồi, chị em đã biết cách lấy cao răng tại nhà AN TOÀN – SIÊU HIỆU QUẢ chưa nhỉ?

Bạn muốn lấy cao răng, nhưng bạn chưa biết cách nào lấy cao răng hiệu quả nhất? Hãy tham khảo chi tiết các cách lấy cao răng SIÊU HIỆU QUẢ này nhé!

Vò nát lá này rồi trộn với muối, sâu răng, nhiệt miệng sẽ tự khắc khỏi chỉ sau đúng 1 đêm

Mẹ nào mắc chứng sâu răng, viêm nướu, nhiệt miệng hãy đọc bài viết này, kết quả nhận được khiến hàng triệu người làm theo.

Ai bị sâu răng, viêm nướu cứ ngậm 1 lát này là khỏi ngay nhé

Sâu răng, viêm nướu dù cứng đầu và lâu năm đến đâu cũng trị dứt điểm hoàn toàn chỉ bằng nguyên liệu quen thuộc có sẵn trong bếp.

Bào vỏ chanh rồi trộn với muối, răng trắng bóng, sâu răng đau buốt cũng tự khắc khỏi

Không ngờ những nguyên liệu có sẵn trong bếp lại giúp bạn đánh bật cao răng, loại bỏ các mảng bám, ố vàng nhanh như 1 nốt nhạc.

Chẳng cần hàn đâu, răng sâu sẽ tự khắc được lấp đầy và không tái phát nhờ công thức độc – lạ từ vài chiếc vỏ trứng gà

Không cần uống thuốc kháng sinh hay đến nha sĩ nhổ bỏ, răng sâu lâu năm sẽ tự lành lại nếu áp dụng theo đúng công thức sau.
 < 1 2 3 4 >  Cuối