Kênh Phụ Nữ Kênh Phụ Nữ

Hàm răng

Đun đặc nước lá chanh: Bí quyết trị sâu răng, viêm lợi hay hôi miệng kinh niên hiệu quả

Đun đặc nước lá chanh: Bí quyết trị sâu răng, viêm lợi hay hôi miệng kinh niên hiệu quả

Chẳng cần dùng đến 1 viên thuốc kháng sinh nào sâu răng, viêm lợi hay hôi miệng kinh niên cũng phải khỏi ngay lập tức chỉ bằng vài chiếc lá chanh thôi nhé!

Sâu răng đau nhức, mảng bám ố vàng, hôi miệng kinh niên cũng chiệu thua với nghệ tươi

Chỉ mất 3 phút mỗi ngày, với hỗn hợp từ nghệ ngay dưới đây răng bạn sẽ trắng ngay lập tức, không còn vết ố vàng hay đau nhức do bị sâu răng nữa đấy. Không tin làm thử coi.

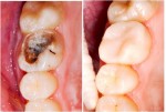
6 loại thực phẩm đánh mất hàm răng trắng khỏe tự nhiên

Một số loại thực phẩm rất quen thuộc, thậm chí có giá trị dinh dưỡng cao cho cơ thể nhưng lại có thể khiến bạn đánh mất hàm răng trắng khỏe, xỉn màu và nhanh mòn.

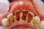
Bí quyết trị sâu răng, viêm lợi hay hôi miệng kinh niên hiệu quả đến 90%, nhà nào cũng nên có

Chẳng cần dùng đến 1 viên thuốc kháng sinh nào sâu răng, viêm lợi hay hôi miệng kinh niên cũng phải khỏi ngay lập tức chỉ bằng vài chiếc lá chanh thôi nhé!

Răng ố vàng đến mấy cũng trở nên ‘trắng sứ’ nhờ ngậm thứ này mỗi sáng

Chắc chắn bạn sẽ có hàm răng trắng đẹp tự nhiên nếu ngậm thứ này mỗi sáng khiến nhiều người mê mẩn.

Cao răng bật ngay lập tức chỉ trong 2 phút

Không cần đi nha sỹ bạn cũng có thể đánh bật cao răng tại nhà.

Vò nát nắm lá ổi rồi đun lấy nước, sâu răng đau nhức, viêm nướu, hôi miệng đều chữa hết

Chẳng cần tới nha sĩ, đau nhức răng, viêm lợi sẽ trị dứt điểm nếu bạn áp dụng công thức thần kỳ từ lá ổi dưới đây.

Ngậm nước này trong 2 phút, hết sạch cao răng lại trắng sáng tức thì

Bạn hoàn toàn có thể lấy sạch cao răng, giúp răng trắng sáng hơn ngay tại nhà mà không cần đi nha sĩ với cách làm dưới đây.

Ngậm thứ này 5 phút, răng lung lay sắp rụng, đau nhức, nhiệt miệng sẽ khỏi ngay tức khắc

Khỏi cần đến nha sĩ cho tốn kém, đau nhức do sâu răng, nhiệt miệng, viêm nướu sẽ khỏi sau vài lần sử dụng nhờ ngậm thứ này 5 phút trước khi ngủ.

Không tốn tiền đi nha sĩ, hãy thử 3 cách lấy cao răng đơn giản ngay tại nhà này

Để khỏi tốn tiền và mất công đến gặp nha sĩ xử lý, bạn có thể loại bỏ cao răng tại nhà bằng những một số nguyên liệu thiên nhiên.

Tuyệt chiêu tẩy trắng răng cấp tốc hiệu quả chỉ bằng 1 lọ oxy già

Ai cũng biết oxy già có khả năng sát khuẩn, làm sạch vết thương cực tốt. Nhưng bạn sẽ bất ngờ vì oxy cũng có công dụng làm trắng răng cực hiệu quả đấy.

Làm theo cách này, răng lung lay sắp gãy cũng chắc khỏe trở lại

Mẹo này giúp bạn khắc phục tình trạng răng lung lay cực kì hiệu quả mà không cần đến bác sĩ hoặc nhổ bỏ chúng đi.

Răng xỉn mấy cũng trở nên trắng bất ngờ nhờ bôi thứ có sẵn này

Nếu chịu khó thực hiện theo hướng dẫn dưới đây, bạn sẽ có hàm răng trắng đẹp bất ngờ, được nhiều người mê mẩn.

Nướng cháy bánh mì rồi chà lên răng 2 phút, cao răng “bật” ra từng mảng

Điều bạn cần làm ngay lúc này là mua cho mình 1 chiếc bánh mì rồi làm theo cách dưới đây nhé!

1 thìa đường + 1 thìa muối: Công thức trị hôi miệng lâu năm, cao răng cứng như vôi cũng bật ra từng mảng trắng lên mỗi ngày

Với những nguyên liệu sẵn có, bạn hoàn toàn có thể tự tin với hàm răng trắng sáng mà không cần đến nha sĩ.

Cao răng "diệt sạch", hôi miệng hết hẳn nhờ ngậm nước này trước khi đi ngủ

Nếu sử dụng đúng cách thứ này để ngậm trước khi đi ngủ, chắc chắn cao răng sẽ "bật mạnh" và hôi miệng cũng vì thế mà hết hẳn.

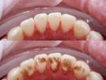
Mảng bám, ố vàng TRÓC RA TẰNG TẰNG không ngăn nổi với công thức mới lạ tốn chưa đến 10 nghìn đồng

Răng bị ố vàng và miệng có mùi hôi khiến bạn không tự tin khi giao tiếp? Thế thì hãy áp dụng cách này ngay để đánh bay cao răng, mảng bám, hôi miệng nhé.

Súc miệng với thứ này 30 giây, chẳng còn sợ đau răng hay hôi miệng

Sâu răng ê buốt, hôi miệng kinh niên cũng phải "chào thua" thứ này trong 30 giây thôi nhé!

Cách trị mảng bám, ố vàng răng với 2 công thức chưa đến 10 ngàn đồng

Răng bị ố vàng và miệng có mùi hôi khiến bạn không tự tin khi giao tiếp? Thế thì hãy áp dụng cách này ngay để đánh bay cao răng, mảng bám, hôi miệng nhé.

3 cách lấy cao răng tại nhà vừa đơn giản vừa không lo tốn kém

Chẳng cần đến nha sĩ nhưng hàm răng của bạn vẫn trắng sáng nhờ vào 3 công thức siêu đơn giản dưới đây.

2 phút sạch ngay cao răng, cho răng trắng sáng không cần đi nha sỹ

Không cần mất tiền đi lấy cao bạn vẫn có hàm răng trắng tại nhà.

Loại nước thần thánh chỉ cần ngậm lần đầu tiên là răng trắng bóng, hết sạch ố vàng, tự tin cười xinh

Nước súc miệng chỉ làm sạch vi khuẩn, mảng bám nhưng chưa đem lại hiệu quả trắng răng. Thử ngậm loại nước này và cảm nhận sự thay đổi bạn nhé!

Mẹo làm trắng sạch răng với muối cực tốt ít ai biết

Muối không chỉ là gia vị trong mỗi bữa ăn của gia đình mà còn có tác dụng làm trắng răng cực tốt.

Chỉ mất 3 phút, bạn sẽ có hàm răng trắng bóng khi làm theo cách này

Hàm răng của bạn xỉn màu? Bạn đã thực hiện nghiêm túc các cách làm trắng và phải “cầu cứu” đến nha sĩ nhưng tình hình không mấy khả quan.

“Sốc” với loại rau chưa đến 5 nghìn diệt sạch ố vàng, mảng bám răng trong tích tắc

Nhờ nắm rau chẳng tới 5 nghìn đồng này, bạn có thể “diệt gọn” các mảng bám răng, tẩy trắng các vết ố vàng, “tút” lại hàm răng trắng sáng, rạng rỡ.

Hỗn hợp “thần thánh” đánh bật mảng bám ố vàng, giúp răng trở nên trắng sáng giúp bạn thêm tự tin

Chỉ sau 5 phút mỗi ngày, bạn sẽ sở hữu cho mình một hàm răng trắng sáng chỉ bằng nguyên liệu tự nhiên, vừa đơn giản mà hiệu quả. Cùng khám phá bí quyết sau nhé!
Đầu  < 4 5 6 7 8 >  Cuối