Kênh Phụ Nữ Kênh Phụ Nữ

Hàm răng

Dùng muối theo cách này, chỉ sau 3 phút dù có hôi miệng hay răng ố vàng lâu năm cũng sẽ biến mất ngay tức khắc

Dùng muối theo cách này, chỉ sau 3 phút dù có hôi miệng hay răng ố vàng lâu năm cũng sẽ biến mất ngay tức khắc

Nếu không muốn đến nha sĩ để tiết kiệm thời gian, bạn có thể dùng muối và làm theo những cách sau để tẩy sạch các vết ố vàng lâu năm trên răng, đồng thời trị dứt điểm tình trạng hôi miêng khó chịu.

5 bước đơn giản lấp đầy các lỗ sâu răng, răng trắng lóa cả mắt mà không tốn tiền đi nha sĩ tốn cả bạc triệu

Sâu nhức răng khiến người bệnh cảm thấy rất đau đớn, khó chịu, thậm chí còn tác động lên dây thần kinh ảnh hưởng đến giấc ngủ và làm tinh thần mệt mỏi.

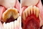
Ngậm loại nước này 1 phút trước khi đi ngủ, cao răng từng mảng cũng bong ra hết, miệng thơm tho tức thì

Không cần đến nha sĩ lấy cao răng, bạn có thể tự làm sạch răng và khoang miệng ngay tại nhà nhờ ngậm hỗn hợp này 1 phút trước khi đi ngủ.

Mẹo cấp cứu siêu tốc hàm răng xỉn màu sau những ngày bia rượu, tiệc tùng ngày Tết

Những ngày tiệc tùng bia rượu dịp Tết khiến hàm răng của bạn bị ố vàng, xỉn màu xấu xí. Để lấy lại nụ cười tự tin bạn tuyệt đối đừng bỏ lỡ những biện pháp cấp cứu siêu tốc, làm trắng răng dưới đây.

Những cách nên và không nên khi tẩy trắng răng tự nhiên cần lưu ý

Để tẩy trắng răng bạn có thể áp dụng các phương pháp tự nhiên mà không cần đến nha sĩ. Tuy nhiên không phải cách này cũng mang lại hiệu quả tốt mà có rất nhiều cách khiến hỏng men răng mà bạn không nên áp dụng.

Súc miệng với thứ này mỗi ngày 1 lần, mùi hôi biến mất, răng trắng như sứ

Nếu chẳng may bạn bị hôi miệng, viêm lợi nướu, viêm họng.... hãy xúc miệng ngay bằng dầu này nhé!

Nhai vỏ chanh theo cách này bạn sẽ giật mình hoảng hốt về kết quả nhận được chỉ sau 1 đêm

Cao răng, mảng bám ố vàng sẽ tự động bong ra mà không cần đến nha sĩ nhờ dùng vỏ chanh theo phương pháp này.

Làm trắng răng bằng than, phương pháp hay nhất định bạn phải thử

Ở nhiều nước phương Tây, nhiều người đang đổ xô đi mua than để...làm trắng răng. Nghe có vẻ lạ lùng, nhưng phương pháp này thực sự mang lại hiệu quả vô cùng vượt trội.

Top 4 cách làm trắng răng cấp tốc siêu hiệu quả trong vòng 2 phút

Làm trắng răng bằng baking soda từ lâu đã được nhiều người sử dụng và rất hiệu quả.

Mẹo nhỏ biến răng ố vàng thành trắng sáng như bọc sứ để tự tin đón Tết

Chỉ bằng vài mẹo nhỏ dưới đây, hàm răng ố vàng của bạn tưởng chừng khó chữa sẽ trở nên trắng sáng bất ngờ để tự tin đón Tết.

Loại bỏ mảng bám ố vàng, trắng răng và hết viêm nướu nhờ kem đánh răng tự làm tại nhà

Chỉ cần làm theo hướng dẫn đơn giản này bạn sẽ biết cách làm thế nào để răng trắng sáng và hết viêm nướu nhờ kem đánh răng tự làm tại nhà.

Một quả chanh – 1 thìa muối, răng trắng sáng tự nhiên, vết ố vàng bật ra thành mảng chỉ sau 3 phút

Chỉ mất 3 phút để thực hiện với 2 nguyên liệu bạn sẽ có nụ cười trắng sáng bất ngờ.

1 phút ngậm nước này trước khi ngủ cao răng nhiều đến mấy cũng bong hết

Cao răng bao nhiêu cũng bong hết chỉ bằng phương pháp vô cùng đơn giản.

6 công thức lấy sạch cao răng trong vòng 5 phút

Lấy sạch cao răng chẳng cần tới nha sĩ chỉ nhờ nguyên liệu trong nhà là điều tuyệt vời mà bạn nên "tranh thủ" ngay.

Chữa đau răng chưa bao giờ dễ thế với 4 nguyên liệu có sẵn trong bếp

Các bệnh về răng miệng là khó chịu lắm đấy. Dùng các nguyên liệu rẻ bèo này trị tận gốc đau răng cho cả nhà nhé các bạn.

Chải răng với thứ này, răng ố vàng đến đâu cũng trắng sáng hiệu quả sau 2 phút

Hàm răng không còn mảng bám ố vàng và trở nên trắng sáng với hỗn hợp dầu dừa và baking soda. Thử ngay bạn nhé!

Đau nhức răng, sâu răng ê buốt đến mức không ngủ được sẽ khỏi ngay trong đêm đầu tiên nhờ ngậm thứ này 15 phút

Không cần tốn tiền đi nha sĩ, đau răng có nặng đến mấy cũng xoa dịu ngay trong lần đầu tiên, nếu bạn áp dụng theo công thức dưới đây.

Sâu răng đau nhức, mảng bám ố vàng, hôi miệng kinh niên chỉ cần nghệ tươi và làm theo cách này

Chỉ mất 3 phút mỗi ngày, với hỗn hợp từ nghệ ngay dưới đây răng bạn sẽ trắng ngay lập tức, không còn vết ố vàng hay đau nhức do bị sâu răng nữa đấy. Không tin làm thử coi.

Cao răng sạch bóng, trắng toát không cần hóa chất nhờ 2 cách đơn giản

Không đi nha sĩ và sử dụng thuốc hóa chất, cao răng vẫn sạch bóng nhờ 2 cách đơn giản sau

Cách làm răng hết ố vàng với nước giấm táo cực hiệu quả

Nếu hàm răng vàng làm bạn kém tự tin trong khi giao tiếp thì hãy ngay lập tức thử phương pháp dưới đây.

Ngậm nước thần thánh này, răng ố vàng cũng chuyển thành trắng bóng

Giấm táo không chỉ giúp loại bỏ các vết bẩn trên răng, làm trắng răng của bạn mà còn tiêu diệt tất cả các vi khuẩn đường miệng, gây hôi miệng.

Cách làm răng hết ố vàng với nước giấm táo cực hiệu quả

Nếu hàm răng vàng làm bạn kém tự tin trong khi giao tiếp thì hãy ngay lập tức thử phương pháp dưới đây.

Không cần dùng thuốc hóa chất, cao răng vẫn sạch bóng nhờ cách đơn giản này

Khoan đã đi nha sĩ hay sử dụng các thuốc chứa hóa chất, hãy áp dụng 2 biện pháp tự nhiên mà rất hiệu quả trong việc loại bỏ cao răng dưới đây.

Ngậm nước súc miệng thần thánh này, răng ố vàng đến mấy cũng chuyển thành trắng bóng

Giấm táo không chỉ giúp loại bỏ các vết bẩn trên răng, làm trắng răng của bạn mà còn tiêu diệt tất cả các vi khuẩn đường miệng, gây hôi miệng.

Học 9 mẹo làm trắng răng và thơm miệng dễ như ăn kẹo

Hàm răng ố vàng và mùi hôi ở miệng sẽ không khiến bạn khó chịu nữa nếu bạn làm theo những mẹo dưới đấy bạn có thể tự tin tỏa sáng mọi lúc mọi nơi.

6 công thức lấy sạch cao răng trong vòng 5 phút, đơn giản bạn có thể tự làm

Lấy sạch cao răng chẳng cần tới nha sĩ chỉ nhờ nguyên liệu trong nhà là điều tuyệt vời mà bạn nên "tranh thủ" ngay.
Đầu  < 5 6 7 8 9 >  Cuối