Kênh Phụ Nữ Kênh Phụ Nữ

Hàm răng

Bào nhuyễn vỏ chanh rồi làm theo cách này, cao răng cùng mảng bám ố vàng sẽ tiêu biến hoàn toàn trong 2 phút

Bào nhuyễn vỏ chanh rồi làm theo cách này, cao răng cùng mảng bám ố vàng sẽ tiêu biến hoàn toàn trong 2 phút

Bạn sẽ nhanh chóng sở hữu một hàm răng trắng sáng đến ngỡ ngàng mà không cần nha sĩ, nếu áp dụng công thức làm đẹp "thần thánh" từ vỏ chanh dưới đây.

Muốn làm răng nên suy nghĩ cho thật kỹ rồi hãy quyết định!

Lúc đầu mình thích lắm, răng đều, đẹp, trắng, tự tin hơn hẳn khi giao tiếp, khi cười. Nhưng sau 1 năm mình thấy có 1 vài chiếc bị hở, lợi yếu và hay chảy máu - chị H.D. chia sẻ.

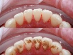
Cách sử dụng nước cốt chanh để cao răng bật ra từng mảng, hôi miệng kinh niên cũng phải thơm tho sau 2 phút

Nước cốt chanh có thể giúp bạn đánh bật từng mảng cao răng hiệu quả đấy.

Dùng muối theo cách này, răng ố vàng lâu năm, mùi hôi miệng khó chịu đều biến mất chỉ sau 3 phút

Chỉ 1 nhúm muối, bạn có thể áp dụng tới 3 cách để tẩy trắng răng, trị sạch mùi hôi miệng và lấy lại tự tin trong giao tiếp.

Đau nhức răng, viêm nướu, răng lung lay sẽ khỏi sau 1 ngày nhờ ngậm thứ này trong 10 phút

Chẳng cần đến thuốc kháng sinh đau răng đến ê buốt, viêm nướu, viêm lợi cũng khỏi ngay tức thì chỉ trong 10 phút ngậm với thứ này.

1 quả chanh - 4 cách cạo sạch cao răng lâu năm trắng sáng ngay tại nhà

Sử dụng chanh chính là cách nhanh nhất để làm trắng răng hiệu quả mà không cần đến nha sĩ.

Chà hỗn hợp này lên răng 3 phút và đợi, bạn sẽ bất ngờ về kết quả có được

Hàm răng của bạn sẽ trắng sáng và hơi thở thơm mát tức thì chỉ cần kiên trì chà hỗn hợp này thôi nhé!

Sâu răng, ê buốt tự hết với nước súc miệng thần kì này, đảm bảo 10 năm sau không bị nữa

Phương pháp trị sâu răng, ê buốt bằng lá bàng non nghe có vẻ lạ tai nhưng được đánh giá là vô cùng hiệu quả đấy nhé.

Uống 1 ly nước ép này đều đặn mỗi sáng, sau 1 tháng bạn sẽ sốc với kết quả đạt được

Theo các chuyên gia, nước dứa chứa nhiều vitamin C có tác dụng chống viêm, giảm phù nề và dưỡng da cực hiệu quả.

Răng vàng ố tới mấy cũng trắng ngay lập tức khi bạn biết bí quyết này

Đây chính là bí quyết để răng vàng ố tới mấy cũng trắng ngay lập tức khi bạn biết bí quyết này.

Cả đời không cần đi lấy cao răng, chỉ cần 2 phút/tối làm việc này

Dùng 1 trong 2 nguyên liệu này để loại sạch các mảng cao răng bạn nhé.

Nghiền nát thứ này rồi chà lên răng 2 phút, răng ố cỡ nào cũng trắng loá

Để làm trắng hàm răng ố vàng, thay vì sử dụng các hóa chất tẩy trắng, có thể gây hại và bào mòn men răng, bạn nên dùng các nguyên liệu tự nhiên vì nó an toàn và lành tính hơn đồng thời cũng rất hiệu quả.

Làm trắng răng với chanh không phải ai cũng biết

Cần gì tốn tiền đi nha sĩ làm chi cho tốn tiền khi đã có 4 công thức làm trắng răng từ 1 quả chanh này rồi?

Cao răng nhiều đến đâu cũng bong ra từng mảng nếu ngậm thứ nước này 1 phút trước khi ngủ

Với khả năng diệt khuẩn cao, hỗn hợp nước chanh này có tác dụng làm sạch các mảng bám ố vàng trên răng hiệu quả, ngăn chặn vi khuẩn hình thành.

Bí quyết cho hàm răng trắng sáng chẳng hề tốn kém mà hơi thở còn thơm tho

Tự tin với hàm răng trắng cùng hơi thở thơm tho từ bí quyết siêu đơn giản dưới đây, thử ngay bạn nhé!

Răng vàng ố lâu năm 1 tháng cũng trắng ra 2 tông chỉ với 20k

Chỉ sau 1 tháng áp dụng cách làm trắng răng này răng bạn sẽ sáng lên 2 tông, nếu không tin các bạn có thể đến phòng khám nha khoa để kiểm tra độ trắng của răng sau khi áp dụng xem sao nhé.

Lấy ngay 1 nhúm muối và làm theo cách này, mảng bám ố vàng bao nhiêu cũng biến mất sau 3 phút

Sẵn có muối trong nhà, bạn hãy thực hiện ngay bí quyết này để có hàm răng trắng sáng, hơi thở thơm mát nhé.

2 phút sạch ngay cao răng ngay tại nhà không cần đi nha sỹ

Không cần mất tiền đi lấy cao bạn vẫn có hàm răng trắng tại nhà.

Mẹo làm trắng răng với muối cực tốt và đạt hiệu quả cao

Muối không chỉ là gia vị trong mỗi bữa ăn của gia đình mà còn có tác dụng làm trắng răng cực tốt.

Tự tút tát răng trắng sạch, tiết kiệm tiền khỏi đi nha sĩ

Bạn đã gặp vấn đề gì về răng miệng: miêng hôi, răng ố vàng, cặn bám...? Tất nhiên, những vấn đề bệnh lý khác phải tới nha khoa, còn lại đều có thể giải quyết rốt rẻng ngay tại nhà.

Một thìa này sẽ đánh bay hôi miệng, hiệu quả hơn cả kem đánh răng

Hôi miệng sẽ không còn là nỗi lo lắng cũng như mặc cảm của bạn nữa. Áp dụng ngay cách này để lấy lại sự tự tin trong mọi giao tiếp nhé!

Khắc phục hàm răng ố vàng với 3 giải pháp tự nhiên

Bạn có thể áp dụng những giải pháp dưới đây để khắc phục hiện tượng hàm răng ố vàng.

Bí quyết để làm răng trắng hơn nhanh chóng là đây chứ đâu!

Dù vệ sinh răng miệng sạch sẽ đến đâu thì ít nhiều răng bạn cũng bị ố vàng và mảng bám làm phiền. Chỉ cần nghiền nát thứ này rồi chà 2 phút mỗi tối, bạn sẽ có ngay hàng răng trắng lóa.

“Sốc” với loại rau chưa đến 5 nghìn quét sạch ố vàng, mảng bám răng trong vòng “1 nốt nhạc”

Nhờ nắm rau chẳng tới 5 nghìn đồng này, bạn có thể “diệt gọn” các mảng bám răng, tẩy trắng các vết ố vàng, “tút” lại hàm răng trắng sáng, rạng rỡ.

1 quả chanh – 4 cách cạo sạch cao răng lâu năm giúp răng trắng sứ ngay tại nhà

Sử dụng chanh chính là cách nhanh nhất để làm trắng răng hiệu quả mà không cần đến nha sĩ.

Răng ê buốt, không sáng màu, khô môi trầm trọng vì miếng dán trắng

Sau 11 ngày sử dụng, không thấy răng trắng lên như quảng cáo, thậm chí còn ê buốt và làm khô môi nữa, dùng xong là phải bôi kem dưỡng thì mới hết.
Đầu  < 6 7 8 9 10 >  Cuối